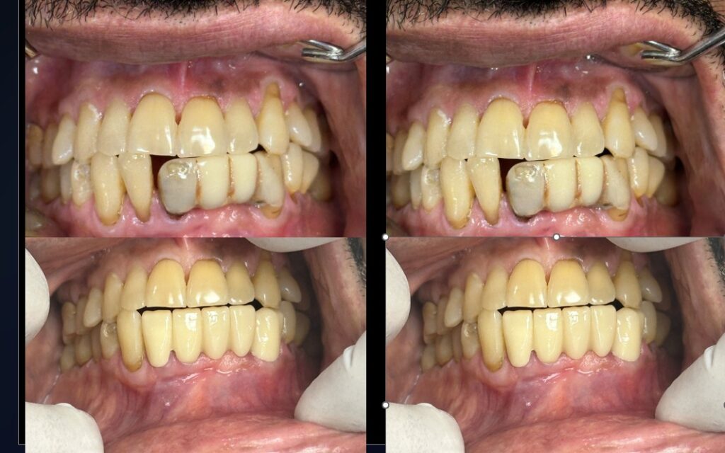
Get fixed teeth in just 48 hours with a simple, advanced solution at Dental Surgery Centre – Advanced Dental Speciality Clinic. If you are struggling with loose teeth, missing teeth, difficulty in chewing, uncomfortable dentures, or failed previous dental treatments, you don’t have to live with these problems anymore. Our single-stage immediate load dental implant procedure offers a faster, more comfortable alternative—allowing you to regain stable, fixed teeth within 48–72 hours in suitable cases, often without the need for bone grafting or multiple surgeries. Using advanced technology such as CBCT, OPG, digital scanners, and precision-driven planning, we provide a complete one-window solution from diagnosis to final restoration under one roof. Led by Prof. Dr. Veerendrakumar SC, with over 30 years of clinical experience and expertise in immediate load implantology, our focus is on delivering predictable results with minimal discomfort and quick recovery. This treatment is designed to restore not just your teeth, but your confidence, smile, and ability to enjoy life again. Book your consultation today and take the first step towards a fixed, comfortable, and confident smile.
