DENTAL IMPLANTS/FIXED TEETH FOR EVERY ONE?

WELCOME TO DR VEERENDRAKUMAR, s Dental Surgery Centre Advanced Dental Speciality Clinic

specialised Centre for the Basal Implantology (Cortical Implants or Cortico-Basal Implantology) DENTAL IMPLANT FIXED TEETH IN THREE DAYS concept SPECIALIZED CENTRE

Our Mission

As an implantologist, and General Dentist, my mission is to provide professional dental services that are technologically current, with a commitment to excellence. Every patient is important to us. Our concern is that every patient is treated carefully with special attention to their comfort, their time, and their needs. We strive to be of value to our patients with a goal to exceed their expectations.

Dental Implants/Fixed Teeth for Everyone!

It is very common to have lot of fear, anxiety regarding dental implant treatment. That is why, we take so much care in our consultation, treatment procedure and follow ups!!

Most of the people who deserve dental implant treatment does not avail it due to huge cost involved especially in USA, UK, AUSTRALIA and even in INDIA. They live with the dental disability compromising the quality of life. This causes social, health and personality problems. We offer inexpensive, high quality dental implant treatment in India. True savings of 75% in cost in dental implant treatment compared to other countries.                                                 

Our aim is to help every patient to get their smile and confidence back by having fixed teeth.

  • Through a simple, reliable protocol carried out by trained and experienced dentists
  • Without waiting times
  • Without bone grafting procedures
  • Without peri-implantits
  • At affordable cost

 

“No one should die waiting for their teeth to be fixed” - Don’t Let Your Patients Tooth Replacement Keep Their Life On Hold. Dr Veerendrakumar sc

gum abscess,Diabetic patient with loose mobile teeth,patient wanted good smile,and wanted to restore the chewing .extraction,implatation,and fixed teeth in 48 hours was done back in 2018

Prof. Dr. Veerendrakumar S.C. is a highly respected Indian periodontist and implantologist, widely recognized for his pioneering contributions to immediate loading and cortico-basal implantology. With an exceptional clinical experience of over 25,000 implant procedures, he stands among the most accomplished and trusted clinicians in the field of dental implantology.
dr veerendrakumar sc

old front bridge and caps broken,patient wanted smile back immediately,broken tooth was removed and in the same step implants were placed and fixed teeth were given next day evening using in house laboratory

SMILE AND CONFIDENCE RESTORED - Immediate Load Cortico-Basal-Teeth in Three days

Diabetic patient with loose mobile teeth,gum disease.patient wanted good smile,and wanted to restore the chewing .extraction,implatation,and fixed teeth in 48 hours was done 4 years back in 2016

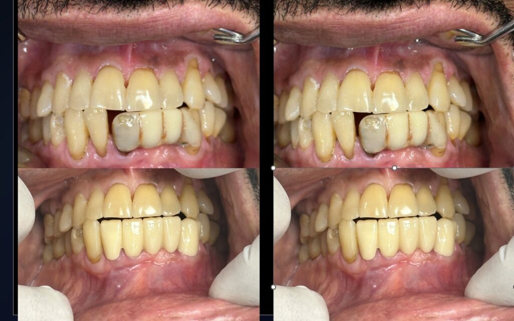
patient reported to us with complaint of previous bone graft failure and also conventional implant failure,young patient was wth out teeth for few months waiting for the graft to take up and implant to heal.we completed this case in less than 3 days with out graftnd waiting time.

Immediate Load Cortico-Basal Implants-Teeth in Three days

Patient Before The Treatment-Many Teeth Were Removed Earlier And  Patient wanted to restore the  Smile And Difficult of  Chewing 
Immediate Load Cortical Implants Were Placed In The Same Sitting When Some Hopeless Teeth Remaining Were Removed.And Patient Was Given A Fixed Teeth In Three Days.More Confidence And Good Smile

Radiographic pictures

Radiographs shows engagement of stable,resorption free cortical bone with basal implants,also called cortical implants or cortico - basal implants

Radiographs shows engagement of stable,resorption free cortical bone with basal implants,also called cortical implants or cortico - basal implants AND clinical changes in 48 hour

Difference between the conventional and cortico-basal implants

Why Choose Dr Veerendrakumar,s Dental Surgery Centre Advanced Dental Speciality Clinic ?

  • 25 years of experience
  • Best centre for basal implants,teeth in 3 days concept clinic
  • in house CBCT,OPG XRAY facility,
  • in house laboratory facility for the faster prosthetic work delivery
  • State-of-the-art dental center for international patients.
  • Highly qualified and experienced world-class implantologists.
  • Painless Treatments.
  • High standards of sterilization and well-trained staff.
  • Quality dental care for all patients.
  • Result oriented and pain-free dental care.
  • Ultimate equipment following the latest technology.
  • Excellent service and facilities.
  • Highly Personalized treatment plans.
  • Guaranty of quality.
  • Leading dental implant center for dental tourism.

case of failing conventional implants are treated by basal implantology

Replacement of Upper anterior teeth in thin alveolar ridge with basal implantology

  Prof, Dr. VEERENDRAKUMAR SC .MDS

DR VEERENDRAKUMAR SC  Clinical Master in Immediate Loading Implantology – International Implant Foundation, Munich, Germany

 International teacher for the international implant foundation. Munich Germany
 Mentor in Basal Implantology & has been organizing training programs & workshops for practicing dentists
 Fellow of the Indian Society of Oral Implantology(ISOI).
 Fellow of the Indian society of periodontology(ISP)
 Expert in Advanced Immediate Loading Basal Implantology
 Head of the Dept. of Dentistry & implantology, Dental Surgery Centre, Bangalore
 Has a regular stream of international patients, especially from USA, Canada, Australia & UK,UAE
 Member :Indian Dental Association (IDA)
Mentor and International Teacher for AIM ACADEMY SWITZERLAND

WHAT IS THE SCIENCE BEYOND IMMEDIATE LOAD IMPLANTATION WORK?

In conventional Implantology, The procedure of getting dental implants fixed is extensive and highly complicated with no guaranteed success. Even the implants cost was also too expensive. In most of the instances, it demands Bone grafting and traumatic time-consuming procedures like Sinus lift.

Basal implants are inserted  into the layer of hard bone beyond the spongy bone known as a basal bone. This basal bone is considered to be an ideal location as it is highly mineralized when compared to grafted bone and provides the fast and stable foundation for new teeth leading to the rise in basal implant cases or permanent teeth in 3 days.

dr veerendrakumar sc
long-term success and stability of cortico-basal immediate load dental implants over a 10-year period.

ADVANTAGES OF CORTICAL BONE IMPLANTATION

  • Use of highly mineralized basal bone instead of spongy alveolar bone for insertion of implants.
  • A desired fusion of implants with the bone occur.
  • Immediate stability for new teeth
  • No Micro Gaps, no Infections or Gum diseases or any related complications.
  • Implant cost at affordable prices.
  • More comfortable and reliable than removable dentures.
  • Chewing ability is restored immediately.
  • Highly cost-efficient.

How to Find Us

Fill up the Form and Ask Your Queries

Address

Dental surgery centre.302.vk plaza.4th phase.7th block.100 feet main ring road.banashankari 3rd stage.opposite to apollo school.near devegowda petrol bunk.Bangalore 560085

Phone

+919844016274 /> +910826695988/87/89

Email

iamveeru@gmail.com /> dentalsurgerycentre@gmail.com

LOCATION VIDEO

OUR LOCATION